Artrosis de Rodilla
Anatomía
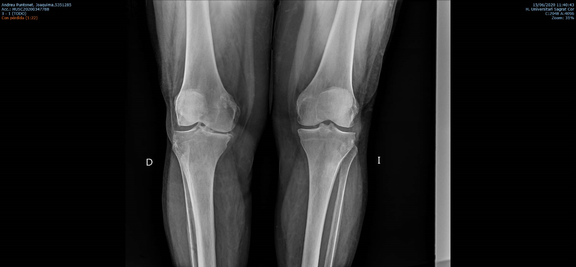
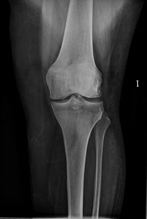
La rodilla es la articulación formado entre tres huesos el fémur, la patela y la tibia. A diferencia de la cadera, la rodilla tiene tres compartimientos funcionales muy definidos: la femorotibial medial (la parte de dentro de la rodilla), la femorotibial lateral (la parte de fuera de la rodilla) y la femoropatelar (la parte anterior de la rodilla). Es una articulación sometido a carga y predispuesto a sufrir desgaste. La artrosis tiene un componente genético y familiar muy importante en su aparición y también en la deformidad presentada por el paciente. La deformidad de piernas más frecuente es la deformidad con las piernas arqueadas hacia dentro (genu varo) en casi 90% de casos. Algunas veces la piernas se deforman hacia fuera (genu valgo). Según la deformidad con la que presenta la rodilla puede afectar un compartimiento, dos o todos cuando la enfermedad es avanzada.

Por tanto, a diferencia de la cadera es posible tratar la artrosis de la rodilla con una gama de protesis según la parte de la rodilla desgastada y la forma de la pierna. Las diferentes protesis para tratar las enfermedades de la rodilla son las prótesis totales cuando toda la rodilla esta gastada y las parciales cuando solo una parte está afectada. La unicompartimental medial es usada para desgaste entre el fémur y tibia por dentro, la unicompartimental lateral cuando el desgaste entre el fémur y tibia es por fuera y la femoropatelar cuando el desgaste es entre el fémur y la patela por delante.
Los síntomas iniciales de artrosis de la rodilla son molestias a nivel de la parte interna, externa y/o anterior de la rodilla con dolor irradiado a la parte proximal y distal de la pierna. Cuando progresa la enfermedad se acompaña de rigidez que se presenta típicamente a primeras horas de la mañana. Este dolor empeora con las actividades y se alivia con el reposo. Con su progresión natural el dolor puede ser incapacitante limitando la capacidad de realizar movimientos normales como agacharse para atar los zapatos o caminar cortas distancias. Como la evolución natural de la artrosis es a empeorarse cuanto antes se resuelva el problema de base, antes mejorará su actividad y calidad de vida.
|  |  | 
Diagnostico
Los estudios previos para el diagnostico de una artrosis de rodilla son principalmente un examen clínico del médico y las radiografías. El examen medico habitualmente confirma dolor en la parte medial, anterior y lateral de rodilla, rigidez con reducción en el rango de movimiento, crepitación o roce con el movimiento de la rodilla y cojera durante la marcha. En la radiografía típicamente se observa los cambios en la forma del hueso y cartílago como la pérdida de grosor, deformación y endurecimiento. Ocasionalmente para confirmar el diagnóstico de la patología de un compartimiento o de una fase muy inicial, se puede usar otras pruebas de imagen como la resonancia magnética, tomografía computarizada (TC) o gammagrafía ósea que valora mejor las partes blandas alrededor de la articulación.
|  |  | 
Las Prótesis de Rodilla.
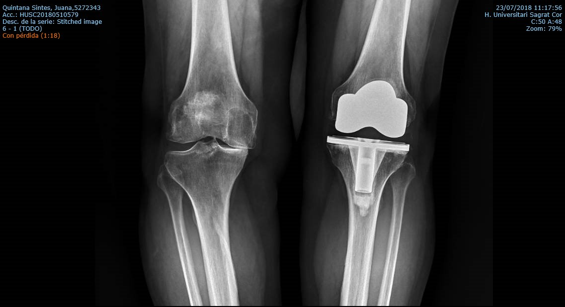
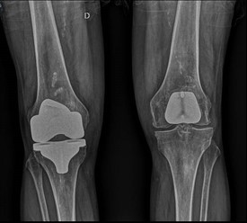
La prótesis total de rodilla es la cirugía más frecuentemente realizada para tratar la artrosis de rodilla. En una intervención con una historia de casi 50 años y es de las cirugías más exitosas que existen afortunadamente. Se realiza la sustitución del hueso desgastado mediante fijación de dos o tres implantes artificiales entre el fémur, la tibia y el fémur. Tras una minuciosa discusión con el paciente, el cirujano decidirá el tipo del implante a usar dependiendo de su edad, forma de los huesos (anatomía), nivel de actividad y calidad de hueso entre otros factores. Un minucioso estudio de planificación clínico antes de la cirugía permitirá la elección de los implantes que se requiere para adaptarlos y corregir la deformidad de la rodilla y de la pierna. Esa planificación hecha más habitualmente con radiografías permite elegir los implantes adecuados y prever los escenarios que pueden encontrarse en el quirófano – un paso imprescindible para el éxito de la cirugía. Los cirujanos de rodilla deben dominar un amplio repertorio de implantes para adecuarlo a cada situación. Los tres tipos de prótesis de rodilla son: la total, la unicompartimental y la femoropatelar.
La Protesis Total de Rodilla.
El que se usa de manera normal con excelentes resultados a largo plazo es la prótesis total de rodilla. Las prótesis de rodilla cementada consisten de tres implantes fijados al hueso con cemento: una arriba en el fémur (muy liso y hecho frecuentemente de Cobalto Cromo), una base implantada dentro de la parte proximal de la tibia tras resecar su superficie (de titanio) y un botón de plástico en la patela. Entre el fémur y la tibia se inserta un plástico de polietileno con propiedades especiales que limita el desgaste o rotura.
|  |  |  | 
La prótesis total de rodilla no-cementada es una opción usada en ocasiones para la fijación del implante en el fémur y la tibia en pacientes jóvenes con muy buena calidad ósea. La superficie de estos implantes son rugosas y diseñada para adherirse (integrarse biológicamente) al hueso. La fijación de los implantes inicialmente depende de una impactación mecánica muy precisa pero el buen resultado a largo plazo está basado en la osteointegración biológico entre el hueso y el implante. Se indica su uso por las características de forma y calidad del hueso y no han presentado grandes diferencias en los resultados funcionales o de supervivencia entre los dos sistemas (cementado o no-cementado). La ventaja de la protesis no cementada es que parece ser conservar más el hueso.

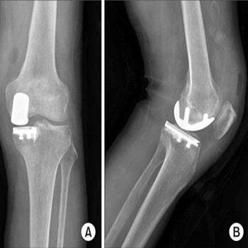
La Prótesis Unicompartimental de Rodilla.
La prótesis parcial de la rodilla es una prótesis especial que está indicado en pacientes con un desgaste muy inicial y con un patrón que afecta solo un compartimiento (interno o externo) de la rodilla. La unicompartimental medial es usada para desgaste entre el fémur y tibia por dentro y la unicompartimental lateral cuando el desgaste entre el fémur y tibia es por fuera. Tiene la ventaja de resecar mucho menos hueso del paciente, así preservando más hueso para el futuro. Además, al mantener la parte biológica del cartílago y la ligamentosa de los cruzados de la rodilla, parece conservar mucho mejor la sensibilidad y la marcha de la rodilla (la propiocepción). También la recuperación de esta cirugía (al ser menos agresiva) es más rápida.
Los mejores resultados de supervivencia se ven en pacientes con poca enfermedad y poca deformidad, mayor de edad o con normo/bajo peso. Los pacientes candidatos a esta protesis probablemente no son más de 5-10% del total de pacientes con artrosis de la rodilla. No obstante, su uso general es restringido debido a la probabilidad de la progresión de a enfermedad dentro del resto de la articulación, que puede ser generador del dolor y fracaso de la prótesis, con el paso de los años. Por tanto, cuando se decide por optar por este implante precisa un consenso claro entre el cirujano y el paciente entendiendo todos los variables que puedan surgir. Siempre que se plantea colocar una protesis parcial habitualmente también se tiene preparado la protesis total por si el grado de enfermedad comprobado durante la cirugía es más de la prevista antes de la cirugía.
|  |  | 
La Prótesis Femoropatelar de Rodilla.
La prótesis parcial femoropatelar de la rodilla es una prótesis especial que está indicado en pacientes con un desgaste muy inicial y con un patrón que afecta solo el compartimiento anterior de la rodilla. Típicamente, son pacientes con dolor en la parte de delante de la rodilla al estar sentados o al subir o bajar escaleras. No les molesta al caminar sobre un terreno plano sin desnivel. Tiene la ventaja de resecar mucho menos hueso del paciente, así preservando más hueso para el futuro. Además, al mantener la parte biológica del cartílago y la ligamentosa de los cruzados de la rodilla, parece conservar mucho mejor la sensibilidad y la marcha de la rodilla (la propiocepción). También la recuperación de esta cirugía (al ser menos agresiva) es más rápida.
|  |  | 
Los mejores resultados de supervivencia se ven en pacientes con poca enfermedad y poca deformidad del aparato extensor, mayor de edad o con normo/bajo peso. Los pacientes candidatos a esta protesis probablemente no son más de 2-3 % del total de pacientes con artrosis de la rodilla. Además, su uso es restringido debido a la probabilidad de la progresión de a enfermedad dentro del resto de la articulación, que puede ser generador del dolor y fracaso de la prótesis con el paso de los años. Por tanto, cuando se decide por optar por este implante precisa un consenso claro entre el cirujano y el paciente entendiendo todos los variables que puedan surgir. Siempre que se plantea colocar una protesis femoropatelar habitualmente también se tiene preparado la protesis total por si el grado de enfermedad comprobado durante la cirugía es más de la prevista antes de la cirugía.
|  |  |  | 
|  |  |  | 

Cirugía de Protesis de Rodilla.
El objetivo de la cirugía de prótesis de rodilla es aliviar el dolor y mejorar la movilidad y función de la articulación para poder mover y caminar. Inicialmente en el posoperatorio inmediato el paciente necesitará usar muletas, pero habitualmente el paciente se encuentra independiente para caminar, subir y bajar escaleras en entre tres y seis semanas. La rehabilitación antes y después de la cirugía es importante para recuperar la movilidad y el tono muscular y para reducir el dolor.
Riesgos asociados a la prótesis de rodilla.
Los riesgos que implica cualquier procedimiento con anestesia son: reacción alérgica a medicamentos, problemas respiratorios o cardiacos, problemas neurológicos con anestesia regional, reacciones adversas a las medicaciones, etc. Los riesgos que implica cualquier procedimiento quirúrgico: sangrado, infección, trombosis, etc. Los riesgos específicos a una prótesis de rodilla pueden ser: sangrado dentro de la articulación (hemartrosis) o hematomas alrededor por lesión vascular, fractura de los huesos, lesiones nerviosas del nervio poplíteo o peroneo, fracaso de la cirugía para aliviar los síntomas, infección o inestabilidad o desacoplamiento de los implantes, problemas con la cicatrización, muerte etc. Las complicaciones tardías más frecuentes suelen ser infección tardía, aflojamiento por desgaste de la prótesis, fracturas alrededor de la prótesis o inestabilidad o desacoplamiento de la prótesis. Comparado a la protesis de cadera la cantidad de pacientes con dolor persistente o insatisfechos con el procedimiento es mas elevado por razones que no entendemos de todo bien.
Expectativas después de la Prótesis.
La protesis de rodilla es una de las cirugías más exitosas en la historia de la humanidad. Tiene un recorrido de mas de cincuenta años y actualmente tiene una tasa de éxito de alrededor de 90 a 95% a los 5 años. Las complicaciones aumentan en los pacientes que padecen de otras enfermedades o que tienen otros factores de riesgo. Por ejemplo, la tasa de complicaciones es mas elevada con la obesidad, cirrosis, enfermedades autoinmunes con tratamiento de inmunosupresores, fumadores, elevada tasa de consumo de alcohol, diabetes sobre todo mal controlado, etc. Es importante intentar optimizar (mejorar) el paciente de sus condiciones previas antes de la cirugía para mejorar el resultado de la cirugía.
Ninguna cirugía tiene una tasa de éxito de 100% y ningún implante durará para siempre. La supervivencia o duración de cualquier implante artificial esta relacionado con su correcta implantación y está comprobado que tiene mayor supervivencia cuando está implantado por cirujanos experimentados y en centros especializados de alto volumen. El desgaste de la protesis es un proceso normal con el paso de tiempo y de manera simplificada depende de su uso. La prótesis está diseñada para mejorar la calidad de vida al paciente y para soportar las actividades cotidianas y deportivas de no muy alto impacto, mejorando así al paciente del dolor para poder realizar estas actividades. Por tanto, su duración varia con la edad, actividad deportiva o laboral, peso, etc. La supervivencia del implante va bajando con el paso de los años con una tasa de éxito alrededor de 85 y 80 % a los 10 y 15 años. En gente mayor es poco probable que necesiten un recambio o revisión de su prótesis, pero es probable en gente joven y especialmente en varones laboralmente activos.
Convalecencia y Postoperatorio.
La recuperación tras la cirugía de una protesis de rodilla realizada mediante los nuevos protocolos de recuperación rápida suele ser de unas 4 a 6 semanas. El paciente necesitará un par de muletas durante aproximadamente 4 a 6 semanas para reducir la inflamación y evitar el peso y la presión sobre la articulación de la cadera hasta que la inflamación y hematoma alrededor de la rodilla baje. El nivel de dolor es moderado y se controla con analgésicos y antiinflamatorios en el postoperatorio. Como la mayoría de las intervenciones en el miembro inferior, los anticoagulantes se utilizan durante aproximadamente 4 semanas para evitar el riesgo de trombosis venosa profunda o embolia de la pierna operada. Los pacientes son dados de alta del hospital con muletas, pero caminando de forma independiente en el momento del alta. Es importante adquirir las muletas antes de la cirugía. El paciente es dado de alta con apósitos para cubrir la incisión durante los primeros días o hasta la primera visita de control.
El paciente podrá caminar con carga completa de peso con muletas durante aproximadamente 4 a 6 semanas para luego volver a la normalidad sin muletas paulatinamente. La protesis de rodilla requiere de un proceso de fisioterapia mas intensiva que la protesis de cadera. Se debe sobretodo a que es importante ganar un rango de movimiento que permite poder realizar las actividades de vida diaria antes de las cuatro a seis semanas para evitar complicaciones como dolor y rigidez posterior. La recuperación completa es aproximadamente alrededor de los 3 meses, pero probablemente se necesitarán hasta seis meses para volver a los deportes y las actividades de alta demanda. Se puede tardar hasta un año para estar completamente recuperado.

 
										 
									 
									